Stress fractures in women’s soccer: our experience during one year of sports season

FRANCESCO POGLIACOMI1, MARCO LISTA2, FILIPPO CALDERAZZI1, FRANCESCO CECCARELLI1, ENRICO VAIENTI1, MASSIMILIANO ALESCI1, PAOLO SCHIAVI1, SALVATORE BATTAGLIA1

1Orthopedic and Traumatology Clinic, Department of Medicine and Surgery, University of Parma, Parma, Italy; 2Department of Theoretical and Applied Science, eCampus University, Novedrate, Como, Italy.

Summary. Background. Stress fractures are overuse injuries that are difficult to diagnose and treat. Many female athletes have predisposing factors (endocrine-hormonal and nutritional) that may favor their development. This study follows the observation of an increased number of stress fractures during the first part of the 2023-24 sports season in a high-level women’s soccer team. The aim of this study was to analyze the causes of this type of injury and implement appropriate preventive measures. Methods. This study was conducted between August 2023 and May 2024. Five soccer players who sustained this type of injury were included and compared to the other players of the team. The presence of alterations in the menstrual cycle and of eating disorders as well as the axial characteristics of the lower limb and the workloads they had been subjected to were analyzed in all participants. In injured athletes location of the fracture, mineral bone density, grade of stress injury on MRI, treatment provided and time to return to training and to play were also recorded. Results. Injured athletes showed a significantly lower BMI compared to the rest of the team and all presented with concomitant menstrual dysfunction, reduced mineral bone density and energy availability, and lower limb malalignment. Orthopedic treatment was always associated with the application of orthoses as well as hormonal therapy and eating disorders management. Conclusions. Stress fractures are serious injuries that can have potentially negative consequences on athletes’ careers. Early diagnosis, identification of predisposing factors, and their correction, and appropriate orthopedic treatment are essential for managing these injuries and preventing both onset and recurrence.

Key words. Soccer, stress fracture, overuse injury, female athlete.

Fratture da stress nel calcio femminile: la nostra esperienza durante un anno di stagione sportiva

Riassunto. Premessa. Le fratture da stress sono lesioni da sovraccarico funzionale di difficile diagnosi e trattamento. Molte atlete presentano fattori predisponenti (endocrino-ormonali e nutrizionali) che possono favorirne lo sviluppo. Il presente studio è conseguente all’osservazione di un aumentato numero di fratture da stress occorse nella prima parte della stagione sportiva 2023-24 in una squadra di calcio femminile di alto livello. L’obiettivo di questo studio è stato analizzare le cause di questa tipologia di lesione e adottare appropriate misure preventive. Metodi. Lo studio è stato condotto tra agosto 2023 e maggio 2024. Sono state incluse cinque calciatrici che hanno subito questo tipo di infortunio e sono state confrontate con le altre giocatrici della squadra. In tutte le partecipanti sono state analizzate la presenza di alterazioni del ciclo mestruale e di disturbi della condotta alimentare, nonché le caratteristiche assiali dell’arto inferiore e i carichi di lavoro a cui erano state sottoposte. Nelle atlete infortunate sono stati inoltre registrati la sede della frattura, la densità minerale ossea, il grado di lesione da stress alla risonanza magnetica, il trattamento fornito e il tempo di ritorno all’allenamento e alla competizione. Risultati. Le atlete infortunate hanno mostrato un indice di massa corporea significativamente inferiore rispetto al resto della squadra e tutte presentavano concomitanti disfunzioni mestruali, ridotta densità minerale ossea e disponibilità energetica, e malallineamento dell’arto inferiore. Il trattamento ortopedico è stato sempre associato all’applicazione di ortesi, nonché a terapia ormonale e gestione dei disturbi della condotta alimentare. Conclusioni. Le fratture da stress sono infortuni seri che possono avere conseguenze potenzialmente negative sulla carriera delle atlete. Una diagnosi precoce, l’identificazione e la correzione dei fattori predisponenti e un appropriato trattamento ortopedico sono essenziali per la gestione di queste lesioni e la prevenzione sia dell’insorgenza che delle recidive.

Parole chiave. Calcio, frattura da stress, infortunio da sovraccarico, atleta femminile.

Introduction

The women’s soccer championship began in Italy in 1968. Since then, it has experienced exponential growth in terms of participation and visibility. Starting with the 2022-23 season, players competing in the “Serie A” championship have become professionals, just like their male counterparts. The consequence of this growth has been an increase in the number and intensity of training sessions, the frequency of competitions, and the expectations of results and performance on the part of their clubs. However, the proper recognition of women’s football at the same level as men’s football must take into account the hormonal, biological and musculoskeletal differences between the two sexes1. For these reasons injury prevention strategies and workload planning must be even more meticulous. The biggest mistake in women’s football management (physical preparation and workloads) is to entirely apply the principles learned from men’s football to women, thus increasing the risk of acute and chronic injuries in athletes.

Stress fractures, overload injuries resulting from repeated microtraumas on a bone segment in the absence of an acute traumatic event, represent one of these overuse conditions and are among the most difficult pathological conditions to recognize promptly and treat2. The most frequently involved sites are the lower limb, with a greater incidence in the metatarsal bones of the foot and in the tibia2,3. The diagnosis and treatment of this pathology must take into consideration not only the musculoskeletal system but also the nutritional and hormonal patterns of the athletes as well as the workloads to which they are subjected3. It is known that a condition of Relative Energy Deficiency in Sports (RED - S), formerly known as “The female athlete triad” that is an interrelationship of menstrual dysfunction, low energy availability [often, though not always, associated with disordered eating or a frank eating disorder (EDs)], and decreased bone mineral density constitutes a predisposing factor for the development of stress fractures4,5.

This study follows the observation of an increased number of stress fractures during the first part of the 2023-24 sports season in a high-level professional women’s soccer team. The aim of this study was to analyze the causes of this type of injury and implement appropriate preventive measures.

Materials and methods

This study was conducted between August 2023 and May 2024 in accordance with the principles of the Declaration of Helsinki. All participants provided written informed consent in order to participate in the study.

All female soccer players who suffered this type of injury were included (group 1). In particular, the injured athletes had to have presented with painful symptoms that had arisen without identifiable acute trauma, with a diagnosis confirmed by imaging, and had completed their therapeutic process up to full recovery and return to sport. In group 1 the anatomical location of the fracture, the instrumental examinations performed (radiography, magnetic resonance imaging, computed tomography, DEXA-bone mineral density), the grade of stress injury on MRI according to Fredericson classification6, the treatment provided and the time to return to training (RTT) and to play (RTP) were also recorded.

Furthermore, the axial characteristics of the lower limb after a clinical examination and computer-assisted analysis of plantar pressure distribution, and the concomitant presence of alterations in the menstrual cycle and of EDs were examined. These clinical and functional assessments were also performed on the rest of the team (group 2), excluding non-outfield players (goalkeepers). For each participant, age and role on the field as well as BMI were collected.

Finally, the parameters detected by the heart rate-GPS monitoring system during training and matches were analyzed in both groups in order to detect the workloads they had been subjected to.

The collected data were analyzed in a descriptive form. The Welch t-test was used to compare BMI of group 1 and group 2.

Results

During the observational period, five stress fractures were identified out of a total of twenty-five participants in the study. Demographic characteristics are summarized in table 1.




Predisposing factors in the two groups are described in table 2.




Group 1, composed of five moderately underweight athletes, showed a mean BMI of 17.46, lower than Group 2, with values ranging from mildly underweight to normal weight (mean BMI of 21.41). A statistically significant difference in BMI was found when comparing the two groups (t = 6.82; df ≈ 23; p < 0.0001), indicating that the BMI was markedly lower in the stress fracture group.

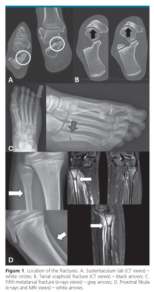
Location of the fracture (figure 1), grade of stress injury, malalignments, treatments performed and time for RTT and RTP are shown in table 3. In group 1 orthopedic treatment was always associated with the application of orthoses after computer-assisted analysis of plantar pressure distribution, as well as hormonal therapy and management of EDs; in those of the second group the same associated predisposing factors were corrected if present.







Stress fractures were diagnosed after an average of 3 weeks from the onset of the symptoms. Second-level imaging (CT and MRI) was always performed, although standard radiographs clearly showed the fracture in the two fifth metatarsal. DEXA scores demonstrated osteopenia in all 5 athletes affected by this injury.

All fractures healed. Workloads analysis showed that the two groups were comparable during the observational period. Starting in March 2024, following a change in the team’s technical coach, the typical training week was modified increasing the weekly rest period by one day without increasing total workload.

Discussion

Stress fractures represent a pathological condition that should not be underestimated, both in terms of incidence, difficulty in the diagnosis, treatment, and recovery to full competitive activity.

These injuries occur in both male and female athletes; however, the literature reports an incidence that is two to four times higher in female engaged in high-impact, repetitive sports activities7,8. The most frequent locations of stress fractures involve different segments of the lower limb, particularly the tibia and the foot2,3. Among different sports, soccer is the most frequently affected, due to its characteristics of continuous running, changes of direction, jumps and landings and repeated submaximal contusive impacts.

The assessment of stress fractures cannot be limited to the musculoskeletal system alone. The risk of developing this kind of injury arises from the convergence of multiple intrinsic and extrinsic factors. In female, some typical contributors, such as biomechanical differences in the alignment of the lower limbs compared to men, hormonal characteristics and a greater predisposition to eating disorders represent risk factors that must be carefully evaluated9. Menstrual cycle alterations and low energy availability, often secondary to dysfunctional eating behaviors, lead to unfavorable endocrine adaptations that characterize the clinical picture of RED-S (formerly known as the Female Athlete Triad)10,11. This cluster of physiological disturbances results in reduced bone mineral density, increased bone turnover, and a diminished ability of bone tissue to tolerate repeated microtrauma, thereby creating ideal conditions for the development of stress fractures. Additional predisposing factors contribute to this vulnerability, such as dynamic valgus, increased Q-angle, narrower tibial diaphysis, and smaller overall tibial geometry, all of which result in higher bone strain during activities such as running and load carriage9. Biomechanical studies also reveal that females exhibit distinct joint kinematics: greater ankle flexion, increased joint reaction forces at the hip, knee, and ankle, and reduced hip extension and ankle plantar flexion compared to males12. These factors may result in higher tibial strain and a more pronounced increase in stress fracture risk with increasing load. This overload becomes evident especially during running, changes of direction, jumps, and landings – mechanisms that are typical and increasingly frequent in modern soccer.

An inadequately planned workload – in terms of intensity, progression, and recovery – represents the extrinsic factor that ultimately may amplify all the elements discussed above. Ignoring this complexity and applying to women’s soccer the same training principles derived from long-standing experience in men’s soccer constitutes a significant methodological error, as it overlooks the anatomical, physiological, and metabolic differences between the two sexes. All these aspects must be carefully considered within a context of continuous improvement and refinement among the team’s performance and medical staff.

Stress fracture diagnosis is challenging. Early recognition of a stress fracture is essential to reduce training-loss days, a parameter that has a direct impact both on individual performance and on the overall planning of the team. The initial symptoms are often subtle, with moderate-intensity pain that worsens with physical activity and significantly improves with rest. Based on patient’s clinical history, this is typically associated with the absence of an identifiable acute trauma and the ability to maintain an apparently normal performance, sometimes covered by the use of NSAIDs. All these nonspecific signs and symptoms may delay the diagnosis by several weeks or even lead to a missed diagnosis. Furthermore, standard radiographic examinations, which at the onset of symptoms may be negative in up to 25-47% of cases, may not reveal the incomplete cortical lesions that usually precede the actual stress fracture13. Consequently, it is essential to perform second-level imaging such as CT and MRI, which have proven to be the diagnostic tools of reference in terms of both early detection and accuracy13,14.

The treatment of stress fractures has the following objectives: promote bone healing and prevent recurrence. Achieving this goal requires more than simply focusing on the fracture consolidation process; it is necessary to systematically identify and correct all predisposing factors that contributed to the injury. For this very reason, the therapeutic pathway must include a comprehensive clinical and functional assessment of the athlete, with particular attention to axial and biomechanical alterations of the lower limb, the characteristics of the athletic gesture, and loading patterns during training and competition. Addressing endocrine and nutritional aspects is equally essential, especially in athletes with suspected or confirmed RED-S. Therefore, the ideal treatment must rely on a multidisciplinary approach involving different doctors (orthopedic surgeon, sports physician, and gynecologist), the physiotherapist, the nutritionist, and, when necessary, the sports psychologist. Only an integrated approach ensures comprehensive management that effectively corrects modifiable risk factors, optimizes functional recovery, and guarantees a safe return to sport while minimizing the likelihood of recurrence.

In this study, all five stress fractures were diagnosed during the first part of the competitive season; their clinical onset was characterized by progressive load-related pain without any identifiable acute trauma. A noteworthy finding is that all these athletes simultaneously presented the intrinsic risk factors previously described: menstrual cycle alterations (oligo/amenorrhea), eating disorders with reduced BMI and low energy availability, osteopenia, and axial malalignments of the lower limb. In the rest of the team, however, 11 athletes presented some of these risk factors, but never all of them simultaneously. The authors believe that the concurrent presence of the aforementioned risk factors, rather than any single element, constitutes the greatest risk for developing stress fractures. The orthopedic treatment adopted was never isolated but was always integrated within a multidisciplinary therapeutic program aimed at correcting the predisposing factors. In particular, the Authors believe that a significant role was played by the systematic inclusion of a gynecologist and a nutritionist within the evaluation and treatment pathway. Early identification of menstrual irregularities, the administration of specific hormonal therapy, and the correction of eating disorders represented crucial elements not only for proper fracture healing but also for ensuring a safe return to sport with a lower likelihood of new fractures or recurrences. In this context, the use of DEXA played an important role, as it allowed for the identification of the initial concomitant osteopenic condition. Furthermore, the assessment of plantar support through computer-assisted baropodometric analysis led to the creation of custom-made insoles aimed at correcting malalignments and improving load distribution across the musculoskeletal structures of the lower limb.

These measures were also implemented in the athletes of the second group who presented isolated risk factors. The mean RTT and RTP times observed in this cohort were comparable to the values reported in the literature, generally ranging between 3 and 4 months6,15. All fractures healed, and no recurrences or new stress fractures were recorded during the second part of the competitive season.

The analysis of workload data obtained through the GPS–heart rate monitoring system showed that the two groups were exposed to substantially comparable training volumes and intensities. It is interesting to note that, in the second part of the competitive season, the team’s technical staff guidance changed. This resulted in a modification of the weekly training structure, with one additional rest day. Despite this, the quantitative analysis of workload after the coaching change did not differ. This finding supports that rest alone, if not accompanied by targeted interventions on the athlete’s intrinsic risk factors, does not constitute a sufficient protective measure16.

The analysis of all these observations further confirms that correcting the biological, biomechanical, nutritional, and endocrine determinants represents the true cornerstone of both treatment and prevention, as well as the absolute necessity of a multidisciplinary approach in the management of stress fractures and in the prevention of recurrences17,18,19.

This study presents several limitations: the small sample size, its selective nature (a single team in its first experience in a professional league), and the descriptive and observational design of the analysis. It would have been useful to perform a DEXA assessment to monitor changes in bone mineral density in those athletes for whom the multidisciplinary team had introduced protective measures; however, this examination was not conducted due to economic, time-related, and organizational constraints14. Despite these limitations, the results obtained provide important insights for the understanding, management, and prevention of stress fractures within the specific context of professional women’s soccer, emphasizing the need for working models adapted to the physiological, biomechanical, and hormonal characteristics of female athletes.

Conclusions

Stress fractures represent an insidious condition that can have negative consequences on the careers of high-level female soccer players. Diagnosis is often delayed or missed. The assessment of this condition must take into account all predisposing factors, both intrinsic and extrinsic. Treatment should not be limited to addressing the fracture itself but must also include the correction of these factors within a multidisciplinary pathway involving different professional figures. These assumptions are confirmed by the results observed in this study, which was characterized by complete healing in all cases as well as the absence of recurrence and new stress fractures.

Conflicts of interest. The authors declare that there is no conflict of interest.

Authors’ contributions. All Authors are working alongside with FP and all contributed in the in the preparation of the manuscript and followed the participants in their medical and rehabilitation path. In particular, ML analyzed the workloads during sport activity, PS and FC corrected English language, F Ceccarelli and EV alongside with FP followed the clinical course of the operated patients. Finally, SB, MA together with me organized the writing of the study. All Authors have participated in conceiving the content and in the final review.

Ethic statement. This research was conducted in accordance with the WMA Helsinki Declaration www.wma.net/policies-post/wma-declaration-of-helsinki-ethical-principles-for-medical-research-involving-human-subjects/). In this study no patient can be identified but for all patients a signed informed consent to publish and reproduce descriptions, photographs, video was obtained.

References

1. Lian J, Sewani F, Dayan I, et al. Systematic review of injuries in the Men’s and Women’s National Basketball Association. Am J Sports Med 2021; 50: 1416-29.

2. Aicale R, Tarantino D, Maffulli N. Overuse injuries in sport: a comprehensive overview. J Orthop Surg Res 2018; 13: 309.

3. Knechtle B, Jastrzębski Z, Hill L, Nikolaidis PT. Vitamin D and stress fractures in sport: preventive and therapeutic measures. Medicina 2021; 57: 223.

4. Jacqueline M, Madhusmita M. The female athlete triad: review of current literature. Curr Opin Endocrinol Diabetes Obes 2022; 29: 44-51.

5. Mountjoy M, Sundgot-Borgen JK, Burke LM, et al. IOC consensus statement on relative energy deficiency in sport (RED-S): 2018 update. Br J Sports Med 2018; 52: 687-97.

6. Mandell JC, Khurana B, Smith SE. Stress fractures of the foot and ankle, part 2: site-specific etiology, imaging, and treatment, and differential diagnosis. Skeletal Radiol 2017; 46: 1165-86.

7. MacGregor AJ, Fogleman SA, Dougherty AL, Ryans CP, Janney CF, Fraser JJ. Sex differences in the incidence and risk of ankle-foot complex stress fractures among U.S. military personnel. J Womens Health (Larchmt) 2022; 31: 586-92.

8. Rizzone KH, Ackerman KE, Roos KG, Dompier TP, Kerr ZY. The epidemiology of stress fractures in Collegiate Student-Athletes, 2004-2005 Through 2013-2014 Academic Years. J Athl Train 2017; 52: 966-75.

9. Bruce OL, Edwards WB. Sex disparities in tibia-fibula geometry and density are associated with elevated bone strain in females: a cross-validation study. Bone 2023; 173: 116803.

10. Arendt EA, Agel J, Dick R. Anterior cruciate ligament injury patterns among collegiate men and women. J Athl Train 1999; 34: 86-92.

11. Koltun KJ, Williams NI, De Souza MJ. Female athlete triad coalition cumulative risk assessment tool: proposed alternative scoring strategies. Appl Physiol Nutr Metab 2020; 45: 1324-31.

12. Meardon SA, Derrick TR, Willson JD, et al. Peak and Per-Step Tibial Bone Stress During Walking and Running in Female and Male Recreational Runners. Am J Sports Med 2021; 49: 2227-37.

13. Lu H, Wang C, Wang L, et al. Exploring the early diagnostic value of MRI for type I stress fractures: a retrospective analysis based on imaging manifestations. Front Surg 2025; 12: 1333714.

14. Stellingwerff T, Mountjoy M, McCluskey WT, Ackerman KE, Verhagen E, Heikura IA. Review of the scientific rationale, development and validation of the International Olympic Committee Relative Energy Deficiency in Sport Clinical Assessment Tool: V.2 (IOC REDs CAT2)-by a subgroup of the IOC consensus on REDs. Br J Sports Med 2023; 57: 1109-18.

15. McInnis KC, Ramey LN. High-risk stress fractures: diagnosis and management. PM R. 2016; 8 (3 Suppl): S113-24.

16. Tenforde AS, Carlson JL, Chang A, et al. Association of the female athlete triad risk assessment stratification to the development of bone stress injuries in collegiate athletes. Am J Sports Med 2017; 45: 302-10.

17. Hoenig T, Eissele J, Strahl A, et al. Return to sport following low-risk and high-risk bone stress injuries: a systematic review and meta-analysis. Br J Sports Med 2023; 57: 427-32.

18. Chen YT, Tenforde AS, Fredericson M. Update on stress fractures in female athletes: epidemiology, treatment, and prevention. Curr Rev Musculoskelet Med 2013; 6: 173-81.

19. Grabia M, Perkowski J, Socha K, Markiewicz-Żukowska R. Female Athlete Triad and Relative Energy Deficiency in Sport (REDs): Nutritional Management. Nutrients 2024; 16: 359.